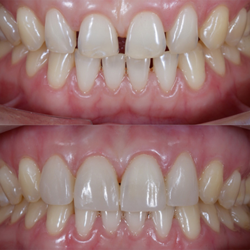
إجراء سريع وآمن يمنحك أسنانًا أكثر بياضًا وإشراقًا في جلسة واحدة فقط.

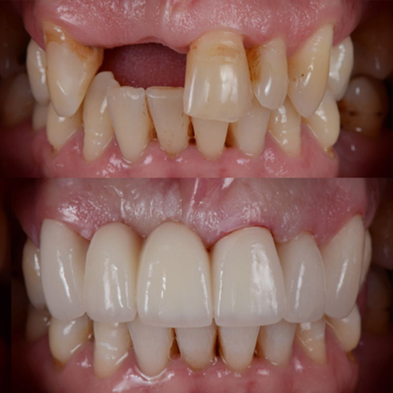
حل دائم لاستبدال الأسنان المفقودة واستعادة المظهر الطبيعي والوظيفة الكاملة.
حدد الطبيب الذي تفضله للحصول على فحص وحجز زيارة معهم في غضون دقائق. ما عليك سوى اختيار من القائمة أدناه.

عيادة رائعة وخدمة ممتازة. كان الطبيب متعاونًا جدًا. شكرًا لعيادة بوميرانج.

لقد زرعتُ ١٥ سنًا. وكانت النتيجة رائعة. شكرًا لكِ، د. إسراء.

استشرتُ عدة عيادات، لكنني استقريت على عيادة بومرانج، وكان اختياري صائبًا. عيادة مرموقة حقًا.

بيّضت أسناني في عيادة بوميرانج. كان التعقيم والنظافة ممتازين، وكان الطاقم الطبي محترمًا.
Kocatepe, 33. Sk. No:5/A, 34045
Bayrampaşa/İstanbul
+90 534 727 27 20
info@bumerangdis.com
يمكنك حجز موعد بالضغط هنا.
فريق متخصص في انتظار مكالمتكم والإجابة على استفساراتكم.
البريد الإلكتروني : info@bumerangdis.com
هاتف : +90 534 727 27 20
© Copyright by Bumerang 2026 Design By anas.alkelani@oneclinic.co
© Copyright by Bumerang 2026 Design By anas.alkelani@oneclinic.co