

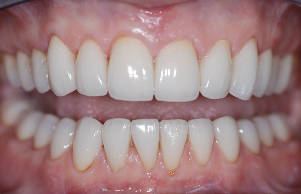
An E.max crown is a type of all-ceramic dental crown made from lithium disilicate glass-ceramic, a material known for its high strength, durability, and excellent aesthetics. It is produced by Ivoclar (IPS e.max system) and is widely used for cosmetic and restorative dentistry.
Material: Lithium disilicate ceramic.
Strength: Approximately 360–500 MPa, depending on the manufacturing method.
Appearance: High translucency that mimics natural tooth enamel.
Fabrication: Often made using CAD/CAM digital milling for precision.
Biocompatibility: Fully metal-free, good for people with metal sensitivities.
Superior aesthetics: Very natural appearance due to translucency.
Strong and durable for most clinical situations.
Conservative preparation: Usually requires less tooth reduction compared to some older crown types.
Excellent bonding: Resin bonding techniques provide strong retention.
Resistance to staining: Ceramic surface maintains color over time.
Metal-free: No gray lines at gum level, no metal allergy risk.
Not the strongest ceramic: Zirconia is stronger for heavy biting forces.
Less ideal for long bridges: Better suited for single crowns or short-span bridges.
Risk of fracture under extreme pressure (especially in patients with bruxism).
Higher cost compared to simpler crown materials.
Technique-sensitive: Success depends on proper preparation and bonding.
E.max crowns are ideal for:
Front teeth (central incisors, laterals, canines)
Premolars
Teeth requiring high aesthetic quality
Teeth with moderate functional load
Patients requesting metal-free restorations
Cases needing minimally invasive preparation
Molars with very heavy biting force or grinding habits
Long-span bridges
Cases where maximum strength is more important than aesthetics (zirconia preferred)
Examination & planning
Tooth preparation (shaping the tooth)
Digital scan or impression
Crown fabrication (CAD/CAM milling or lab fabrication)
Trial fitting and adjustments
Final bonding using resin cement
Follow-up evaluations
Some clinics offer same-day crowns using in-office CAD/CAM machines.
Average lifespan: 10–15 years, sometimes longer with excellent care.
Longevity depends on:
Oral hygiene
Bite forces
Bonding quality
Whether the patient grinds teeth
Regular dental check-ups
| Feature | E.max Ceramic | Zirconia |
|---|---|---|
| Aesthetics | ★★★★★ (best) | ★★–★★★ |
| Strength | ★★★★ | ★★★★★ (strongest) |
| Ideal Area | Front teeth, premolars | Molars, bridges |
| Transparency | High | Low–medium |
| Metal-free | Yes | Yes |
E.max crowns are considered one of the best cosmetic crown options, combining high strength with natural beauty. They are especially recommended for front teeth and aesthetic-demanding cases, while zirconia may be preferred for molars or heavy bite scenarios.


+90 534 727 27 20
info@bumerangdis.com
Click here to book an appointment with Dr. Esranur Çelik
Brush and floss daily
Avoid biting very hard foods (ice, nutshells, hard candies)
Use a night guard if you grind your teeth
Regular dental cleanings and exams
Limit staining habits (coffee, tea, smoking), although E.max resists staining well
Long-span bridges
Cases where maximum strength is more important than aesthetics (zirconia preferred)

I highly recommend Bumerang Clinic to anybody who needs dental care. Me and my wife had a great experience throughout the whole process.


This one is great they take care of everything they r very kind. If u know is it painful it is but 4 beauty u need to b strong.


Great place great service great people all friendly and very helpful would definitely recommend and will be telling all my friends about this clinic

A specialized team is waiting for your calls and to answer your inquiries.
Email : info@bumerangdis.com
Phone : +90 534 727 27 20
© Copyright by Bumerang 2026 Design By anas.alkelani@oneclinic.co
© Copyright by Bumerang 2026 Design By anas.alkelani@oneclinic.co