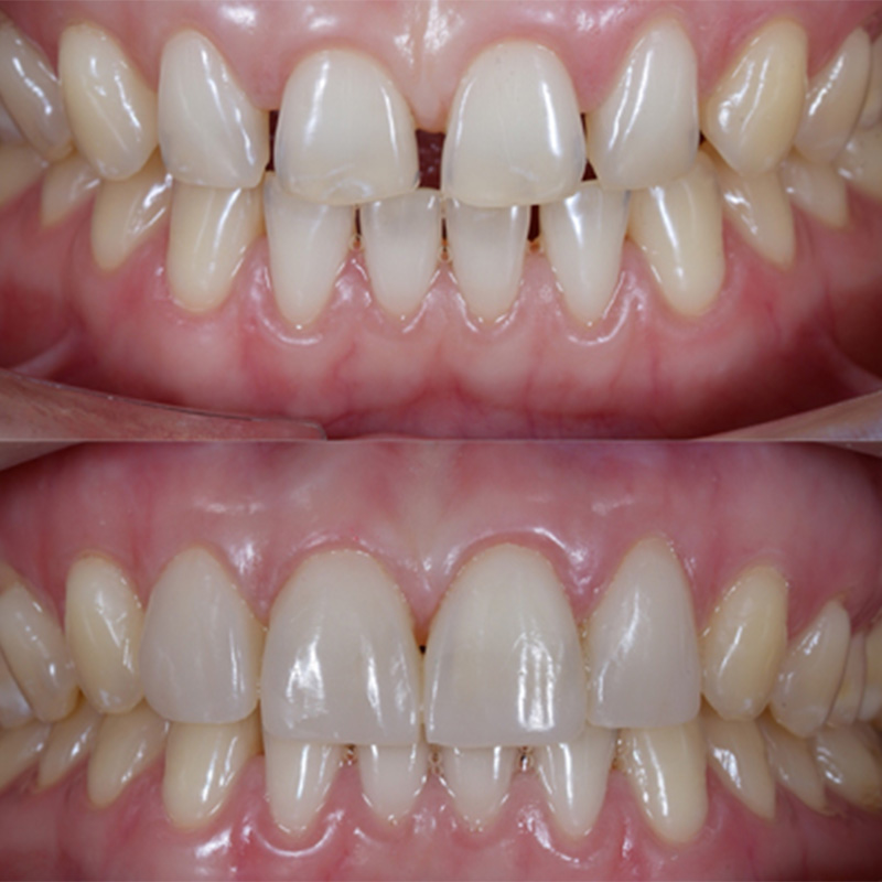
Tek seansta daha beyaz, daha parlak dişlere kavuşmanızı sağlayan hızlı ve güvenli bir işlem.

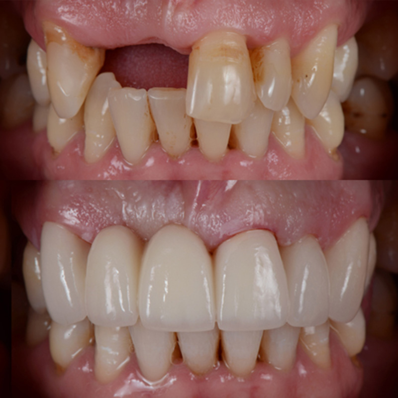
Eksik dişlerin yerine kalıcı bir çözüm, doğal görünümü ve tam fonksiyonu geri kazandırma.

Yüz güzelliğinizi ve özgüveninizi artıracak mükemmel, size özel bir gülümseme.

Ağız sağlığınızı korumak ve diş problemlerinizi hassasiyet ve konforla tedavi etmek için kapsamlı bakım.
حدد الطبيب الذي تفضله للحصول على فحص وحجز زيارة معهم في غضون دقائق. ما عليك سوى اختيار من القائمة أدناه.

Mükemmel hizmet sunan harika bir klinik. Doktor çok yardımcı oldu. Teşekkürler, Bumerang kliniği.

15 dişim implante edildi. Sonuç harikaydı. Teşekkürler Dr. Israa.

Birçok kliniğe danıştım ama en sonunda Bumerang Clinic’te karar kıldım ve doğru tercih yapmışım. Gerçekten saygın bir klinik.

Dişlerimi Boomerang Clinic’te beyazlattım. Sterilite ve temizlik mükemmeldi, sağlık personeli de saygılıydı.
Kocatepe, 33. Sk. No:5/A, 34045
Bayrampaşa/İstanbul
+90 534 727 27 20
info@bumerangdis.com
Buraya tıklayarak randevu alabilirsiniz.
Çağrılarınızı ve sorularınızı yanıtlamak için uzman ekibimiz sizi bekliyor.
E-posta : info@bumerangdis.com
Telefon : +90 534 727 27 20
© Telif hakkı Bumerang’a aittir 2026. Tasarım: anas.alkelani@oneclinic.co
© Telif hakkı Bumerang’a aittir 2026. Tasarım: anas.alkelani@oneclinic.co