

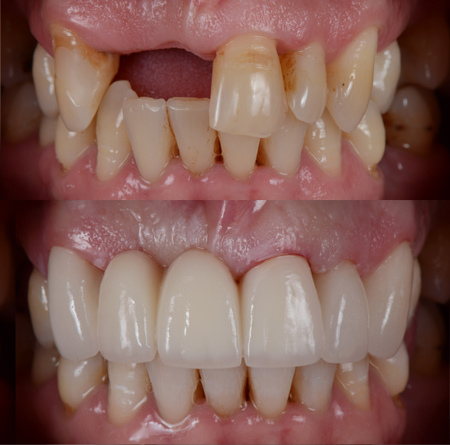
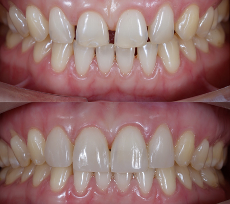
Hollywood Gülüşü, Hollywood’daki ünlülerde gördüğünüz gibi mükemmel, beyaz, simetrik ve ışıltılı bir gülümseme oluşturmak için yapılan estetik bir diş hekimliği uygulamasıdır.
Genellikle dişlerin ön yüzeyinin yeniden şekillendirilmesi, beyazlatılması ve kaplanması işlemlerini içerir. Bu işlemde lamine (veneers), kuron (crowns) veya lumineers gibi materyaller kullanılır.
Amaç, yüz estetiğini tamamlayan ve özgüveni artıran kusursuz ve doğal görünümlü bir gülümseme elde etmektir.
Porselen Laminalar (Veneers)
Dişlerin ön yüzeyini kaplayan, yaklaşık 0,5 mm kalınlığında özel olarak hazırlanan ince kaplamalardır.
Renk değişiklikleri, aralıklar, küçük hizalama bozuklukları ve aşınmış mine gibi sorunları düzeltir.
Oldukça dayanıklıdır ve lekelere karşı dirençlidir.
Lumineers (Prepless Veneerler)
Yaklaşık 0,2–0,3 mm kalınlığında ultra ince laminalardır.
Çoğu zaman diş minesini törpülemeden uygulanabilir.
Küçük kusurlar için veya geri dönüşümlü bir çözüm isteyen kişiler için idealdir.
Zirkonya Kuronlar (Zirconia Crowns)
Dişlerin zayıf, hasarlı veya büyük dolgulara sahip olduğu durumlarda kullanılır.
Dişi tamamen kaplayarak hem dayanıklılık hem estetik sağlar.
Diş Beyazlatma (Hafif Vakalar İçin)
Yapısal bir düzeltmeye ihtiyaç duyulmadığında dişleri aydınlatmak için invaziv olmayan bir seçenektir.
Genellikle en iyi sonuç için laminalarla birlikte uygulanır.
Hollywood Gülüşü için ideal adaylar genellikle şu özelliklere sahip kişilerdir:
Renk değişimi veya lekelenme olan dişler
Hafif çapraşık, aralıklı veya kırık dişler
Aşınmış veya düzensiz şekilli dişler
Daha beyaz, dengeli ve estetik bir gülümseme isteği
Ancak aşağıdaki durumlara sahip kişilerin önce tedavi olmaları gerekir:
Diş eti hastalığı (periodontal hastalık)
Tedavi edilmemiş çürükler
İleri derecede diş dizilimi bozukluğu veya kemik kaybı
Bu sorunlar tedavi edilmeden Hollywood Gülüşü işlemi yapılamaz.
1. Muayene ve Gülüş Tasarımı
Diş hekimi, dişlerinizi, diş etlerinizi ve yüz şeklinizi değerlendirir.
Dijital gülüş tasarımı yazılımı sayesinde işlem öncesi ve sonrası görünüm önizlenebilir.
2. Hazırlık Aşaması
Klasik laminalar için: diş minesinden yaklaşık 0,3–0,5 mm kadar ince bir tabaka kaldırılır.
Lumineers uygulamasında: çoğu zaman mineye müdahale edilmez.
3. Ölçü Alma veya 3D Tarama
Dişlerinizin dijital taraması veya ölçüsü alınır ve kişiye özel lamina ya da kuronların hazırlanması için laboratuvara gönderilir.
4. Geçici Laminalar (Opsiyonel)
Kalıcı set hazır olana kadar geçici laminalar takılabilir.
5. Yapıştırma (Bonding)
Kalıcı laminalar veya kuronlar özel diş hekimi yapıştırıcısı ile dişlere sabitlenir.
Rahatlık ve mükemmel uyum sağlamak için küçük düzeltmeler yapılır.

+90 534 727 27 20
info@bumerangdis.com
Dr. Esranur Çelik’ten randevu almak için buraya tıklayın
Aşındırıcı olmayan diş macunu ile günlük olarak dişlerinizi fırçalayın ve diş ipi kullanın.
Sert cisimleri (buz, kuruyemiş, kalem) ısırmaktan kaçının.
Lekeleri önlemek için kahve, çay ve tütün tüketimini sınırlayın.
Cilalama ve kontroller için diş hekiminizi 6 ayda bir ziyaret edin.
Uygun bakımla:
Porselen laminalar 10-15 yıl dayanır
Lumineer’lar 8-12 yıl dayanır
Zirkonyum kronlar 15-20 yıl dayanır

Diş bakımına ihtiyacı olan herkese Bumerang Kliniği’ni şiddetle tavsiye ederim. Eşim ve ben tüm süreç boyunca harika bir deneyim yaşadık.


Bu harika, her şeyle ilgileniyorlar, çok nazikler. Acı verici olduğunu biliyorsan, evet, ama güzellik için güçlü olmalısın.


Harika bir yer, harika hizmet, harika insanlar, hepsi cana yakın ve çok yardımsever. Kesinlikle tavsiye ederim ve tüm arkadaşlarıma bu klinikten bahsedeceğim.

Çağrılarınızı ve sorularınızı yanıtlamak için uzman ekibimiz sizi bekliyor.
E-posta : info@bumerangdis.com
Telefon : +90 534 727 27 20
© Telif hakkı Bumerang’a aittir 2026. Tasarım: anas.alkelani@oneclinic.co
© Telif hakkı Bumerang’a aittir 2026. Tasarım: anas.alkelani@oneclinic.co